Página 6 de Artigos sobre desmame

Relação o número de desmamados, a sobrevivência na maternidade e o peso ao desmame com o número de leitões após as adopções
O peso ao nascimento do leitão é o factor que mais influi na sobrevivência pré-desmame mas outros factores como a vitalidade e o vigor também são importantes.
Efeito de diferentes níveis de energia em nulíparas
Eliminação do PRCV através do desmame precoce e segregação

Estratégias nutricionais para prevenir as colienterotoxemias pós-desmame
O objectivo das principais estratégias nutricionais é garantir um efeito benéfico sobre a flora digestiva dos leitões e a sua saúde intestinal após o desmame e, desta maneira, reduzir o risco de padecer de quadros colibacilares.

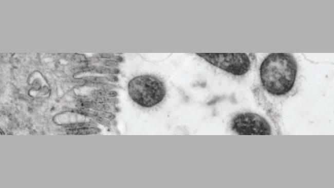
Aspectos da imunidade do tracto gastrointestinal durante o desmame
A taxa e sequência de maturação da imunidade da mucosa desde o nascimento até à consecução de um "tipo adulto" é um determinante importante do rendimento, saúde e sobrevivência posteriores, bem como dos impactos sobre a eficiência e rentabilidade da produção suína.

Abordagem prática dos pontos críticos de controlo da diarreia pós-desmame a nível da exploração
Enric Marco resume os pontos essenciais para controlar a diarreia pós-desmame na exploração.

Recolha de amostras para o diagnóstico diferencial de processos diarreicos pós-desmame
A autolise impede o diagnóstico histopatológico, sendo especialmente crítica em amostras de intestino.

E. coli associada a diarreia pós-desmame. Etiologia, sinais clínicos e factores de risco
A diarreia pós-desmame é endémica em muitas explorações e a sua prevalêcia flutua com o tempo. É mais frequente observá-la na primeira semana após o desmame e os síntomas varíam desde a morte súbita à diarreia entre leve e intensa.

Uma excelente eficiência alimentar em leitões desmamados é sinal de problemas de saúde?
Um fator que é frequentemente esquecido é que os leitões recém-desmamados têm edema e esta retenção de água explica o anormal aumento de peso durante os primeiros dias do desmame.

Infecções por Escherichia coli em suínos (1 de 2)
Este artigo irá centrar-se nos sinais clínicos de algumas infecções por E coli: colibacillose neonatal, colibacilose pós-desmame e doença dos edemas.

Comportamento alimentar após o desmame: podemos melhorar com o maneio?
Quando se desmamam, os leitões encontram facilmente o comedouro, mas aqueles que não tiveram acesso ao creep feed durante a lactação não reconhecem a ração como alimento.
Suplementação de Zn na dieta aumenta capacidade antioxidante total da mucosa
Lisina e condições higiénicas no rendimento de leitões ao desmame

Uso de dietas especiais entre o desmame e a cobrição
O Intervalo do Desmame à Cobrição é um período curto mas decisivo para a produtividade da porca.
Factores de risco para infecção por Mycoplasma hyopneumoniae em leitões
Um resumo semanal das novidades da 3tres3.com.pt
faz login e inscreve-te na lista