O circovirus suíno tipo 2 (PCV2) é um dos agentes patogénicos economicamente mais importantes na suinicultura industrial. Este vírus pequeno e ubíquo é reconhecido hoje em dia como o agente causal essencial de várias patologias conhecidas colectivamente como doenças por circovirus suíno (PCVDs). Entre estas PCVDs, a doença sistémica por PCV2 (PCV-SD, anteriormente conhecida como síndroma da redução de crescimento pós-desmame, PMWS) é a mais significativa. Pese a que a infecção por PCV2 seja necessária para causar o quadro completo de sinais clínicos e lesões de PCV-SD (figura 1), a doença reproduz-se mais eficazmente com a co-inoculação por outros agentes patogénicos. Um destes agentes é o Mycoplasma hyopneumoniae (Mhyo). Mhyo é o principal agente etiológico da pneumonia enzoótica (PE), uma patologia respiratória crónica que afecta principalmente os porcos de engorda. As lesões do tipo PE caracterizam-se por uma pneumonia bronco-intersticial com hiperplasia do tecido linfóide broncoalveolar (BALT) (figura 2). Juntamente com outros agentes patogénicos, incluindo o PCV2, o Mhyo tem um papel principal no complexo respiratório suíno (PRDC). Como consequência, o diagnóstico e o controlo da interacção entre ambos agentes patogénicos é da máxima importância para os suinicultores e veterinários de suinicultura de todo o mundo.
![]() |
![]() |
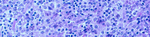
| Figura 1: Deplecção linfocitária severa com inflamação granulomatosa do tecido linfóide. Presença de corpos de inclusão intracitoplasmáticos. | Figura 2: Pneumonia bronco-intersticial com hiperplasia do tecido linfóide bronco-alveolar (BALT) causada por uma infecção experimental por Mhyo. |

Há vários estudos que descrevem a prevalência de co-infecção de PCV2 e Mhyo em condições de campo. Com efeito, um estudo de campo recente encontrou que a seropositividade contra o Mhyo era um factor de risco associado a uma maior gravidade de PCVD. Contudo, é importante ter em conta que a infecção ou o desnvolvimento de anticorpos contra estes dois agentes patogénicos não exclui a interacção sinérgica e o desenvolvimento da doença, pelo que não se podem fazer extrapolações a partir dos estudos de prevalência. As consequências reais e as implicações da referida co-infecção devem analisar-se em condições experimentais.
A co-infecção experimental por Mhyo e PCV2 proporcionou resultados um tanto divergentes. Um desenho experimental que consistiu na inoculação de porcos não expostos com Mhyo e, duas semanas depois, com PCV2, comportou um aumento generalizado da gravidade das lesões associadas ao PCV2. Este aumento da gravidade foi atribuído à capacidade do Mhyo para estimular a produção de macrófagos e, deste modo, facilitar a replicação de PCV2, juntamente com a alteração do perfil de expressão de mRNA para citoquinas. Pelo contrário, a inoculação simultânea de Mhyo e PCV2 em porcos seropositivos não produziu estes resultados sinérgicos. Estes resultados divergentes provavelmente podem ser explicados por várias diferenças no desenho experimental (tabela 1). Portanto, a potenciação das lesões causadas por PCV2 mediante a infecção por Mhyo pode produzir-se, mas depende de vários factores.
Tabela 1: Diferenças no desenho experimental entre dois modelos de co-infecção por Mhyo e PCV2 que produziram resultados distintos.
| Opriessnig et al., 2004 | Sibila et al., 2012 | ||
| Idade de inoculação | Mhyo | 4 semanas de idade | 6 semanas de idade |
| PCV2 | 6 semanas de idade | 6 semanas de idade | |
| Tipo de animais | Seronegativos a ambos agentes patogénicos |
Seropositivos a ambos agentes patogénicos |
|
| Estirpe e dose de inóculo de Mhyo | Estirpe 232, tecido homogeneizado, 105 CCU/ml | Estirpe 98, cultivo fresco, 106 CCU/ 5 ml no primeiro dia e 109 CCU/ 5 ml no segundo | |
A potenciação das lesões produzidas por PCV2 também foi descrita em vários estudos de campo e experimentais sobre a estimulação do sistema imunológico. Em primeiro lugar a vacinação contra o Mhyo foi assinalada como uma das causas que podem estimular a replicação do PCV2. Em segundo lugar, a referida estimulação foi atribuída a adjuvantes concretos mais do que à própria vacina. Para evitar a suposta potenciação da replicação do PCV2, recomendou-se vacinar contra Mhyo antes da circulação de PCV2. Por exemplo, em condições experimentais, observou-se que a vacinação contra o Mhyo entre 2 e 4 semanas antes da exposição a PCV2 não potencia as lesões de PCV2-SD.
As estratégias vacinais contra estes agentes patogénicos seguiram mais ou menos a mesma evolução: das duas doses para uma dose única. Além do mais, o facto de que as vacinações contra o PCV2 e Mhyo poderem coincidir no tempo gerou a pergunta se se podem aplicar em simultâneo ou combinadas na mesma idade. Esta estratégia diminuiria o trabalho e o stress dos animais. Contudo, neste cenário deveria reavaliar-se a eficácia de ambas as vacinas. Hoje em dia, há poucos estudos com revisão independente que comparem a eficácia da vacinação simultânea frente à combinada, pelo que é difícil extrair conclusões científicas.
Após vários anos de administração, a capacidade das vacinas contra o PCV2 e o Mhyo para reduzir a severidade das lesões e melhorar os parâmetros produtivos foi vastamente demonstrada. Contudo, alguns estudos de campo sugerem que a administração de algumas vacinas nas baterias (como estas duas) podem afectar o rendimento imeditamente após o desmame (redução do consumo de alimento e do crescimento). Não obstante, num cenário de exposição a agentes patogénicos este efeito vacinal negativo imediato, mas transitório, deve ser sempre ponderado em relação aos benefícios da vacinação durante o ciclo produtivo completo.




