AB Neo

Empresa Premium

AB Neo è un'azienda del gruppo AB Agri Ltd. AB Agri Ltd, è leader internazionale nella produzione di ingredienti funzionali per le prime fasi di allevamento degli animali di interesse zootecnico.

Il nostro obiettivo è quello di sviluppare fonti proteiche ad alto valore nutrizionale proponendo soluzioni a supposto dell’industria mangimistica e degli allevatori per migliorare la salute e le performance degli animali in modo sostenibile.

La domanda crescente di proteine e le pressioni ambientali ad essa associate, insieme all’esigenza di ridurre l’impiego di antibiotici e di Zinco, ci porteranno ad affrontare enormi sfide.

Abbiamo sviluppato soluzioni nutrizionali ad alte prestazioni ponendo attenzione, fin dai primi giorni di vita degli animali, al benessere e alle performance produttive al fine di migliorare l’efficienza nella produzione animale.

La nostra specializzazione è la produzione di ingredienti con benefici funzionali per assicurare un ottimo stato di salute ed una corretta nutrizione degli animali dalle prime fasi di allevamento.

Alphasoy530, Cellpro e Alphasoy Gold sono ingredienti alternativi costituiti da proteine di origine vegetale che attraverso il nostro processo di lavorazione danno origine ad ingredienti unici con più elevata efficacia funzionale e maggiore valore nutrizionale. 

DanMilk Supreme 1.0 è la migliore soluzione nutrizionale per le primissime fasi dei suinetti. Ideato e prodotto in Danimarca, è costituito al 100% da derivati del latte (sottoprodotti lattiero-caseari, concentrato di proteine del siero del latte e siero di latte dolce in polvere) lattosio e grassi facilmente solubili.

Supreme, latte per suinetti, è stato specificamente formulato per l’uso nel nostro sistema di lattazione Pump'N'Grow, ma può essere usato in tutti gli impianti di allattamento.

Per i suinetti DanMilk Supreme 1.0 è la seconda scelta dopo il latte materno.

 

Contatti:

Luigi Mauri: lm@ab-neo.com (South Europe Area Sales Manager AB Neo)

Ergo S.r.l. : commerciale@ergosrl.eu (partner in Italia per la distribuzione di DanMilk Supreme e Pump'N'Grow)

TwitterLinkedinTelegramTelegram
AB Neo Empresa - Dinamarca15-Dez-2022

AB Neo e il nuovo Centro di Eccelenza

AB Neo : un nuovo centro di eccellenza per il test di nuovi prodotti nutrizionali in modo del tutto simile alle prove di campo.
1 gostocomenta
partilhar
Favoritos
TwitterLinkedinTelegramTelegram
AB Neo  AB Neo patrocina um artigo na 3tre3.it
17-Out-2022 (há 3 anos 1 meses 29 dias)
1 gostocomenta
partilhar
Favoritos
TwitterLinkedinTelegramTelegram
AB Neo Empresa - Dinamarca29-Set-2022

Non sottovalutare l'impatto della qualità e della disponibilità di acqua

Testare la qualità dell'acqua e garantirne un'adeguata disponibilità è fondamentale, avvertono gli specialisti dell'alimentazione dei suinetti AB Neo.
gostocomenta
partilhar
Favoritos
TwitterLinkedinTelegramTelegram
AB Neo  AB Neo patrocina um artigo na 3tre3.it
13-Set-2022 (há 3 anos 3 meses 3 dias)
gostocomenta
partilhar
Favoritos
TwitterLinkedinTelegramTelegram
AB Neo Empresa - Dinamarca09-Set-2022

Dopo divieto EU, AB Neo promuove una strategia olistica per la complessa rimozione dello zinco

INDUSTRY PERSPECTIVES - Intervista al Direttore Tecnico di AB Neo.
gostocomenta
partilhar
Favoritos
TwitterLinkedinTelegramTelegram
AB Neo  AB Neo patrocina um artigo na 3tre3.it
10-Jan-2022 (há 3 anos 11 meses 6 dias)
2 gostocomenta
partilhar
Favoritos
TwitterLinkedinTelegramTelegram
AB Neo Empresa - Dinamarca22-Ago-2021
Sapevi che TUTTI suinetti bevono il latter artificiale se a disposizione e non solamente i piccoli? Guarda il video di Pump'n'Grow con DanMilk.
2 gostocomenta
partilhar
Favoritos
TwitterLinkedinTelegramTelegram
AB Neo Empresa - Dinamarca18-Jul-2021
DanMilk Supreme, il latte dalla Danimarca
gostocomenta
partilhar
Favoritos
TwitterLinkedinTelegramTelegram
AB Neo Empresa - Dinamarca30-Mai-2021

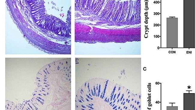
DanMilk Supreme migliora la sopravvivenza e il microbiota dei suinetti

Il test è stato condotto presso un allevamento commerciale italiano con scrofe iperprolifiche  (Danish genetic). L'Università di Bologna ha condotto lo studio e ha curato l’analis
gostocomenta
partilhar
Favoritos
TwitterLinkedinTelegramTelegram
AB Neo Empresa - Dinamarca27-Out-2020

Conosci Piglet Boozt?

Il nuovo ferro liquido di Agilia
gostocomenta
partilhar
Favoritos