Até há poucos anos atrás a vacinação contra o circovirus suíno tipo 2 (PCV2) aplicava-se, basicamente, aos casos em que a infecção tinha uma expressão clínica. Deste modo, prestava-se uma maior atenção às doenças causadas por circovirus suíno (PCVDs), e especialmente à doença sistémica por PCV2 (PCV2-SD, anteriormente conhecida como sindroma multi-sistémico da redução de crescimento do pós-desmame). Desde o princípio que as vacinasm ontra o PCV2 demostraram ser um excelente meio para controlar esta doença. Além disso, alguns parâmetros produtivos como a mortalidade também melhoraram, nalguns casos até valores de há 20 anos atrás. Ao ter uma percepção tão positiva da eficácia da vacina, alguns veterinários e suinicultores decidiram usá-la, não apenas nas explorações clinicamente afectadas, como também nas suas restantes explorações. Os resultados nestas explorações sem PCVD (presumivelmente sãs) também melhoraram globalmente. Hoje, a finais de 2013, podemos afirmar que dispomos de uma ampla informação sobre os efeitos das vacinas contra o PCV2 no que chamamos "cenários subclínicos".

![]() |
|
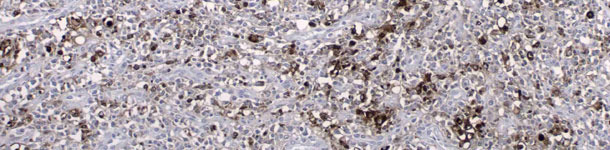
| Antigenes de PCV2 detectados por imunohistoquímica. Nos gânglios linfáticos dos porcos infectados subclínicamente pode encontrar-se muito pouca quantidade de células infectadas. | Antigenes de PCV2 detectados por imunohistoquímica. Nos gênglios linfáticos dos porcos infectados clínicamente pode encontrar-se uma quantidade muito importante de células infectadas. |
Como definir uma infecção subclínica por PCV2 (PCV2-SI)? Com base em estudos serológicos sobre PCV2, assume-se a ubiquidade da infecção por PCV2, enquanto que a prevalência da doença clínica é muito menor. Por outro lado, a primeira evidência da infecção por PCV2 descobriu-se retrospectivamente na Europa em 1962, enquanto que o primeiro diagnóstico retrospectivo de PCV2-SD data de meados dos 80s. Deste modo, recompilando todos os dados, observa-se que a forma mais comum de manifestação do PCV2 é a infecção subclínica, agora e no passado. No final, deve admitir-se que, inclusivamente nas explorações muito afectadas por PCV2-SD, o maior número de animais têm uma infecção subclínica em vez da doença. Contudo, haveria que definir o que é uma PCV2-SI desde o ponto de vista diagnóstico. Com efeito, já se propuseram uma série de critérios (ver tabela 1). É certo que a diminuição do Ganho Médio Diário (GMD) pode ser causado por muitas doenças e mais de uma pessoa poderia sugerir que este dado seria suficiente, por si só, para ser considerado um sinal clínico e não subclínico. Porém, a sua alteração só pode estabelecer-se se forem efectuadas pesagens repetidas, pelo que o “olho clínico” não é suficiente para o detectar.
Tabela 1. Sinais clínicos e critérios propostos para estabelecer um diagnóstico de PCV2-SI.
| Sinais clínicos | Critérios de diagnósticos |
| Diminuição do GMD sem sinais clínicos evidentes |
Os critérios 2 e 3 podem potencialmente ser substituídos por técnicas de detecção de PCV2 como a PCR padrão. |
Até agora, neste cenário subclínico, demonstrou-se que a vacinação dos leitões contra o PCV2 melhora o GMD e reduz a mortalidade e a percentagem de refugo, a variação de peso no matadouro e o indíce de conversão alimentar. É certo, contudo, que a maioria destes efeitos não foram avaliados nas mesmas explorações e ao mesmo tempo, mas há muitas experiências nas quais se registaram um ou vários destes factores. Em qualquer caso, o número de evidências relatadas de vacinas de PCV2 em situações clínicas é muito mais elevado, pelo que o seu efeito sobre as infecções subclínicas todavia necessita de mais estudos. É de destacar que os dados mais importantes em falta estejam relacionados com a economia, especialmente com o retorno do investimento (ROI) da vacinação. Até à data, não há um estudo exaustivo que mostre se o ROI da vacinação num cenário subclínico é sempre suficiente, ou se o é apenas em certas circunstâncias. Se fosse este o caso, conhecemos essas circunstâncias? A resposta é "não". Por outro lado, isto também está relacionado com o diagnóstico de PCV2. Conhecemos o limiar de carga vírica a partir do qual asseguramos um ROI aceitável? A resposta é, de novo, "não". É muito provável que os veterinários de campo não se preocupem com estas questões, já que os rácios de vacinação são muito elevados hoje em dia, atingindo, em muitos países, os 90-100% do efectivo suíno. Para fazer de advogado do diabo, a pergunta seria: será que vacinando todos ou quase todos os animais com a mesma estratégia em todas as explorações, obtém-se o maior proveito da vacina? Quiçá no futuro possamos falar de programas de vacinação à medida da exploração que maximizem a eficácia vacinal (melhor momento de aplicação, subpopulação de aplicação – porcas, leitões, ou porcas e leitoes, etc.) conjuntamente com o ROI.
Finalmente, desde o ponto de vista científico, seria importante conhecer os mecanismos pelos que os porcos desenvolvem infecções clínicas ou subclínicas. Várias publicações abordaram este tema tão importante, mas todavia ainda não temos uma resposta completa. Por outro lado, conhecemos alguns dos efeitos subclínicos da infecção por PCV2, ainda que não sejam tão conhecidos como os relacionados com o PCV2-SD. Foi publicado que a infecção subclínica por PCV2 poderia estar relacionada com uma redução da eficácia vacinal em geral (relativamente a outras vacinas aplicadas no momento da infecção por PCV2). Pelo contrário, uma infecção subclínica experimental por PCV2 não produziu efeitos adversos na resposta imunológica a uma vacinação contra a Aujeszky. Pese a que ao longo dos anos se produziram resultados variáveis, a conclusão geral é que o PCV2 tem a capacidade para modular a resposta imune, não só durante a doença clínica como também em situações de doença subclínica.
Actualmente ainda poderão haver algumas dúvidas sobre os efetos benéficos da vacina contra o PCV2, tanto no aspecto clínico como económico nas infecções subclínicas de leitões, mas… qual é o papel da porca? É possível que a vacinação possa ter efeitos positivos na infecção subclínica das porcas? Bem, teremos que passar das percepções aos dados fundamentados!




