O Circovírus Suíno tipo 2 (PCV2) é endémico nas explorações de porcos e demonstrou virémia e excreção, tanto em leitões neonatos como em porcos adultos. A redução da circulação de PCV2 é uma estratégia de protecção que pode ser alcançada com várias medidas profilácticas directas e indirectas. Desde 1999 que há evidências de campo de infecção trans-placentária por PCV2 associada com falha reprodutiva nos suínos. Os objectivos deste projecto foram, numa primeira fase, a avaliação das consequências clínicas e patológicas da infecção por PCV2 em marrãs convencionais seropositivas a PCV2 através da inseminação com sémen contaminado com PCV2b e, numa segunda fase, avaliar a virémia, a excreção e a carga viral nos tecidos maternos e fetais em marrãs convencionais, vacinadas ou não contra PCV2, que procediam de uma exploração positiva a PCV2, ao ser expostas durante a inseminação artificial (IA) utilizando sémen contaminado experimentalmente com PCV2.
A primeira experiência foi realizada com 9 marrãs convencionais, divididas aleatoriamente em dois grupos: 6 foram inseminadas com sémen contaminado com PCV2 e 3 com sémen não contaminado. Entre as marrãs infectadas, o animal com os títulos de anticorpos mais baixos contra a PCV2 (1/100) no início da experiência e outro que alcançou valores similares durante a experiência, mostraram seroconversão evidente ao longo do tempo e também tiveram fetos positivos a PCV2. Uma das placentas mostrou uma leve necrose focalizada no epitélio coriónico, que se coloriu positivamente na imuno-histoquímica contra o antigénio de PCV2. Os resultados obtidos sugerem que as marrãs seropositivas a PCV2 podem ser infectadas com PCV2 após exposição intrauterina, os títulos baixos de anticorpos podem aumentar a probabilidade de infecção fetal, as lesões placentárias devidas a PCV2 podem representar uma causa adicional de sofrimento fetal numa infecção por PCV2 e a infecção por PCV2 perto da inseminação pode afectar os embriões.


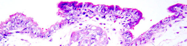
Fig. 1 - Necrose coagulativa nos trofoblastos. Coloração hematoxilina-eosina.
Para analisar a protecção induzida por uma vacinação com uma vacina PCV2 registada para porcas, foi repetido o mesmo desenho experimental incluíndo 15 marrãs convencionais, originárias de uma exploração positiva a PCV2. As marrãs foram divididas aleatoriamente em três grupos, 12 foram inseminadas com sémen contaminado com PCV2, 6 das quais foram vacinadas duas vezes com uma vacina contra PCV2 para porcas às 5 e às 2 semanas antes da inseminação (vacinadas-infectadas = VI) e 6 não foram vacinadas (não vacinadas-infectadas = NVI), outras 3 permaneceram não vacinadas e não infectadas com o sémen contaminado (Controlo = C). Foram obtidos os seguintes resultados:
a) os PCR indicaram que a maioria das marrãs NVI e C eram virémicas contra a PCV2 antes da inseminação assim como em muitos momentos, durante o período de observação (até 56 dias após a inseminação), ao contrário das vacinadas-infectadas (VI), que mostraram um número muito baixo de resultados positivos em amostras sanguíneas;
b) o grupo VI mostrou um número significativamente menor de positivos nas amostras recolhidas in vivo, em comparação com os grupos NVI e C;
c) no grupo VI observou-se uma menor percentagem de placentas e nenhum feto positivo a PCV2 mediante PCR, em comparação com os grupos NVI e C. Estes dois grupos mostraram uma maior percentagem de placentas e fetos positivos a PCV2, além de 3 líquidos amnióticos positivos no grupo NVI e um feto positivo no grupo C;
d) no grupo VI poucas amostras apresentaram uma carga viral elevada, ≥ 108 PCV2 cópias genómicas PCV2/ml. O nível de anticorpos no grupo VI pareceu ser menor que o de NVI e C, provavelmente devido a uma menor estimulação imune ao longo do tempo.
Portanto, é possível que o nível de anticorpos não seja o único efeito vacinal, um aumento da resposta imune da mucosa contra o PCV2 pode prevenir a entrada do vírus e, em consequência, a sua disseminação assim como reduzir a possibilidade de infecção dos fetos e do líquido amniótico.

Fig. 2 - Coloração castanha por imunohistoquímica do antigénio de PCV2b em trofoblastos necróticos.
Cromogénio diaminobenzidina e contraste de hematoxilina.
Nestas experiências, a inseminação de marrãs convencionais com sémen contaminado experimentalmente com PCV2 provocou infecção nos fetos assim como placentites, enquanto que uma vacinação das mesmas contra a PCV2 antes da IA mostrou uma clara redução da carga viral nas marrãs assim como uma excreção viral muito menor, que era compatível com a protecção fetal.




