O vírus da Gripe A (IAv) é o agente responsável por uma doença respiratória suína economicamente muito importante a nível mundial. À medida que a ecologia do IAv se tornou mais complexa, devido à mutação e recombinação viral, foram surgindo novos tipos de amostras e testes diagnósticos para detectar ou diagnosticar infecções por gripe em porcos.
Os testes diagnósticos disponíveis permitem a detecção directa ou indirecta de infecções activas ou exposições prévias, respectivamente. A recolha de amostras para exames directos está dirigida para detectar a replicação e excreção do vírus, que tem lugar entre o dia 1 e 8 depois da infecção. A resposta dos anticorpos pode ser detectada de 7 a 21 dias após a exposição ao vírus e, de preferência, a partir de um par de amostras de soro recolhidas com 2-4 semanas de diferença. As amostras diagnósticas, independentemente do tipo, devem ser refrigeradas a 4°C e transportadas com sacos de gelo a um laboratório de diagnóstico em 48 horas (figura 1).


Figura 1. Recolha de amostras dirigida à detecção directa ou indirecta e ao diagnóstico do vírus da gripe A em porcos. A recolha de amostras para a detecção directa deve ser realizada durante a excreção do vírus, ao princípio da doença. A detecção indirecta de anticorpos contra a gripe deve ser realizada depois da eliminação do vírus e está dirigida à resposta imune contra a infecção.
A análise mediante a reacção em cadeia da polimerase com transcriptase inversa (RT-PCR, pelas suas siglas em inglês) é o exame diagnóstico comummente utilizado em muitos laboratórios como ferramenta de detecção de infecções por IAv a partir de amostras recolhidas ante e postmortem, que incluem fluídos orais, secreções nasais e tecido pulmonar. A RT-PCR é um teste rápido, sensível e específico baseado na detecção de material genético do IAv, o ARN, com resultados rápidos. Além disso, a RT-PCR pode ser utilizada para subtipificar as infecções por gripe e determinar se o vírus é H1N1, H1N2 ou H3N2. Os resultados de RT-PCR a partir de amostras recolhidas antemortem devem ser interpretadas com cautela, já que pode ser obtido um resultado positivo a partir de animais sem sinais clínicos apesar da presença do vírus. A sequenciação de genes específicos da gripe, como a hemaglutinina e o isolamento do vírus também são utilizados quando se quer caracterizar um determinado vírus da IA numa população.
A inmunohistoquímica (ICH) é um exame adequado para o diagnóstico da infecção por gripe em porcos, mas está limitada a tecidos fixos por formalina. Uma reacção química produz um sinal que identifica o antigénio do vírus da gripe, que pode ser visto com um microscópio. Uma vantagem da IHC é que os sinais do vírus estão associados a lesões de gripe no tecido pulmonar. No entanto, a fixação em formalina e a selecção da amostra podem afectar a sensibilidade ou especificidade do exame.
As amostras recolhidas antemortem, que são úteis para detectar a presença do vírus da IA em porcos, incluem fluídos orais e secreções nasais. Os fluídos orais tornaram-se cada vez mais frequentes como ferramenta diagnóstica devido à facilidade da sua recolha e a que representam uma população maior. As amostras de fluídos orais são recolhidas com cordas de algodão suspensas à altura da cruz durante aproximadamente 20-30 minutos. Tem que se evitar a contaminação externa com alimento, fezes e material orgânico. As secreções nasais devem ser recolhidas com uma sintética (rayon ou dacron) com bastão de plástico e um fluído de transporte adequado para vírus.
As amostras de fluídos orais podem ser difíceis de recolher em leitões recém-nascidos, mas são adequadas para leitões desmamados, porcos de engorda e adultos. Uma desvantagem dos fluídos orais é que este tipo de amostras contêm inibidores que podem afectar a detecção por RT-PCR e que a presença de quantidades pequenas de vírus pode impedir a sequenciação ou o isolamento do vírus. Normalmente as zaragatoas nasais funcionam melhor para detectar e isolar gripe, devido às grandes quantidades de vírus que há em tais amostras, mas requere a recolha individual num número suficiente de animais para representar a população durante a fase de infecção.
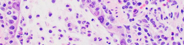
O diagnóstico da doença clínica por IAv em porcos requere amostras recolhidas postmortem, que podem incluir tecido pulmonar fresco ou fixo em formol, traqueia ou fluído de lavagem pulmonar. Os tecidos pulmonares infectados com gripe costumam mostrar uma consolidação multifocal de cor púrpura a vermelho nas porções craneoventrais dos pulmões. Um patologista verá necrose no epitélio das vias respiratórias (brônquios ou bronquiolos) dos pulmões afectados. A combinação de sinais clínicos, lesões macroscópicas e microscópicas e um exame complementar positivo, como uma RT-PCR ou IHC, confirma o diagnóstico da infecção ou doença clínica por gripe (figura 2).

Figura 2. O vírus da Gripe A é uma importante causa de doença respiratória suína. A. As lesões microscópicas compatíveis com a infecção por gripe incluem necrose do epitélio bronquiolar (seta) onde o vírus se replica. B. Lesões pulmonares importantes em forma de consolidação de cor púrpura a vermelho e com um padrão de tabuleiro de xadrez. C. O vírus da Gripe A pode ser detectado mediante imunohistoquímica (IHC) como senais de cor castanho associados a necrose do epitélio respiratório (ponta da seta).

O soro é uma amostra recolhida antemortem usada para detectar anticorpos contra o IAv nos porcos. A prova de ELISA de bloqueio dirigida contra a nucleoproteína conservada da gripe é uma ferramenta de detecção para confirmar a exposição ao vírus, a vacinação ou, no caso de leitões recém-nascidos ou desmamados, a presença de anticorpos maternais. No entanto, ELISA não é útil para predizer a protecção contra a infecção. Os exames de anticorpos funcionais, como a inibição da hemaglutinação (HI) ou a neutralização viral em soro (SVN), podem ajudar a predizer a protecção cruzada quando se utilizam o anti-soro e o antigénio apropriados. O uso de vacinas contra a gripe e a existência de infecções endémicas activas em muitas regiões pode limitar o benefício dos exames serológicos para a gripe. Os resultados serológicos devem ser interpretados em contexto, com as características específicas da exploração e uma história completa.
Em geral, quando nos enfrentamos uma infecção ou doença clínica por gripe em porcos, há que ter em conta o problema a diagnosticar e os testes necessários para conseguir o resultado adequado. Para maximizar a eficácia dos testes de diagnóstico para IAv em porcos, recomenda-se consultar um veterinário e/ou laboratório de diagnóstico e utilizar os seus protocolos específicos para a recolha e análise de amostras.


